Fertilization.

Can I use DNA from other cells in my body to make a fertilized egg?

March 8, 2005

Fertilization.

A curious adult from Washington D.C. asks:

“I am a 53 year old woman who underwent removal of her uterus after two operations for uterine fibroids. I insisted on keeping my ovaries, however, to prevent premature menopause. By now I assume that my eggs are greatly deteriorated and heroic attempts to fertilize them would likely result in an unhealthy fetus.

However, is there a way to retrieve healthy DNA from other cells in my body, implant my DNA in the nucleus of a donor egg whose own DNA has been removed, fertilize my egg(s)with my husband’s sperm, implant the egg(s)in a donor womb, and obtain a healthy fetus that is genetically like my husband and me?”

Unfortunately, no, it’s not currently possible to do something like you describe.

You are right that females have a loss of fertility with aging. Fewer eggs are made by the ovaries and those older eggs have a greater chance of having problems. It does seem like a reasonable desire to put a body cell's more healthy DNA into someone else’s egg.

But it’s much more complicated than it sounds. Eggs have only half as much DNA as any other cell in the body. So far there is no good way to put only half of a cell’s DNA into an egg. Also, DNA from a body cell has a hard time directing the formation of a normal baby.

Chromosomes and Reproduction

In everyday human reproduction, a sperm cell fertilizes an egg, and the newborn’s genes come from both parents. Half are in the egg, and the other half are carried in the sperm. These genes are found in the nucleus on coiled linear chains called chromosomes.

Most of your body cells (known as somatic cells) have 46 chromosomes, in 23 pairs. One chromosome in a pair comes from one parent, the other comes from the other parent. When a cell divides, the chromosomes are copied and each resulting cell receives an identical set of 46.

Egg cells (oocytes) and sperm are a special type of cell called a germ cell. They are created by a unique type of cell division called meiosis. When a cell divides in meiosis, it leaves each egg or sperm with 23 chromosomes – only half the normal number.

The divvy-ing up of the chromosomes during meiosis is an intricate dance. Mishaps that lead to egg or sperm having even one extra or missing chromosome can cause serious developmental problems. Around half of all early pregnancy losses are due to embryos having the wrong number of chromosomes.

When egg and sperm come together, the full amount of 46 chromosomes is restored. Combining 46 chromosomes from a body cell with 23 more chromosomes from a sperm would result in 69 chromosomes – genetic overload.

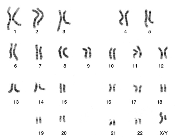
23 pairs of chromosomes.
Humans typically have 23 pairs of chromosomes, or 46 chromosomes total. Having extra or missing chromosomes typically causes developmental problems. (Image: Wikimedia Commons)

Engineering Eggs

To use somatic cell DNA in reproduction, its chromosome number would need to be reduced from 46 to 23. Can you force somatic cell chromosomes to undergo meiosis?

So far this has only been attempted in mouse cells, by combining a somatic cell nucleus just about to divide with a very young oocyte that has not begun meiosis.1 Timing in this experiment is crucial and the results are not perfect.

There were mistakes in how the chromosomes were sorted out. Scientists are hopeful that further research will let them make artificial eggs ready for fertilization by sperm.

But, that’s not the only hurdle. Besides the amount of DNA, the origin of the DNA placed in an egg also affects the embryo.

The DNA of egg and sperm is different in form from the DNA in body cells. The chromosomes are specially arranged and tagged before the sperm fertilizes the egg. This ensures that the right genes are active at the proper time and place during development.

In specialized body cells, like a nerve or muscle cell, the chromosome arrangement is very different. The genes needed for early development are shut down. Research shows that somatic cell DNA cannot guide embryo growth normally.

Cloning

What about Dolly the sheep? Dolly is called a clone because her DNA came entirely from a single body cell. That cell’s nucleus was put into an egg that had its own nucleus removed. This intricate procedure is called nuclear transfer. The egg is then jolted to begin dividing using chemicals or an electrical current.

Dolly the sheep.
Dolly the sheep was cloned by putting DNA from a body cell into an egg. (Image: Flickr)

Didn’t it work just fine? Maybe, but in the many kinds of animals tested so far, only a very small fraction of clones are ever born. It turns out that early growth is usually very abnormal. The problems come from the wrong genes being turned on or off as well as the trauma of the procedure.

Your suggestion is different from cloning because the offspring will have two genetic parents. However, it also involves delicate handling of an egg and DNA. And it similarly requires body cell DNA to perform unaccustomed tasks.

Your idea may become reality in the future. Scientists are working on advancing these technologies for many purposes. Cloned animals with special qualities may have several uses. For example, to study disease, make drugs, or revive rare species.

Also, cloning produces embryonic stem cells that can be transformed into many cell types. Scientists are working on ways to use these cells to restore damaged tissue in serious human diseases like diabetes and Parkinson’s.

 

Author: Dr. Robin Kimmel

When this answer was published in 2005, Robin was a postdoctoral fellow in the Department of Epithelial Biology, studying the genetic mechanisms of skin cancer development in the Khavari lab. Robin wrote this answer while participating in the Stanford at The Tech program.

Ask a Geneticist Home