Woman with a snake.

Does Rh negative blood come from reptiles?

October 20, 2010

Woman with a snake.

A curious adult from California asks:

“Where does Rh negative blood truly originate from as I have seen several sites speaking of reptilian blood and blood of the gods? What is that all about and is there any truth to what is said?”

What an interesting question about Rh negative blood! It would be very cool to think that our human ancestors bred with reptiles and/or gods. However, there is no evidence to support this.

In fact, Rh negative blood is an ordinary trait that some people have and some people don't. In this way, it isn't any stranger than different eye or hair colors.

So, where do these sorts of differences come from? They come from our DNA!

Remember, DNA is the instruction manual that makes us who we are. There is DNA that controls our hair and eye color, our blood type and most everything else about us.

We have different traits because of small differences in our DNA. And when we look at Rh negative and Rh positive people, we see the usual kind of difference. There is no need to invoke aliens, gods or reptiles. It is just simple biology.

Greek pottery depicting Zeus with a thunderbolt
No, being Rh negative did not come from aliens or gods. (Image from Wikimedia)

So being Rh negative isn't any stranger than having blue eyes or red hair. But some people think it must be special because of the effects it can sometimes have on pregnancy.

When an Rh negative mother is pregnant with an Rh positive child, the mother's immune system can attack the baby's blood. This can cause the baby to get very sick or even die. This is called hemolytic disease of the newborn or HDN.

HDN makes it look like the mother is rejecting the child. As if the mother and child are from different species.

But they're not. Mom just has an ordinary DNA difference that can have bad effects on her pregnancy.

This difference has probably stuck around because it has some good points too. Some researchers think that it may make people more resistant to certain parasites like Toxoplasma. In some situations, the good of parasite resistance trumps the bad of the pregnancy problems.

For the rest of this answer I am going to focus on how DNA differences come about and how they can spread throughout the population. In the end you'll see that being Rh negative is just an ordinary DNA difference that happened the way these kinds of things usually do.

DNA Can and Does Change

As I hinted at before, each of us has a different set of DNA that makes us unique in our own special way. The differences we see in each person's DNA are ultimately due to mutations.

A mutation is simply a change in the DNA. And they happen all the time.

For example, mutations can happen when cells divide to make new cells. Each time a cell divides, it needs to copy its DNA. Occasionally a mistake slips through and the new cell has a DNA change.

Rh negative is just an ordinary DNA difference that happened the way these kinds of things usually do.

Outside things like UV light from the sun can also cause mutations by damaging the DNA. The cell can usually fix these but sometimes it does not do its job perfectly and the mistake stays. Now there is a new mutation.

If these kinds of changes happen in an egg or a sperm, then they can be passed down to the next generation. Believe it or not, this is where all the wonderful variation we see around us came from. Including having Rh negative blood.

Not All DNA Changes Are Bad

When you think of a mutation you probably think of giant spiders attacking San Francisco. Or terrible diseases like cystic fibrosis or cancer. 

But not all mutations are bad. They can have positive and negative effects on the body and are important to the evolution of life. These genetic variations (as established mutations are called) help us to evolve and stay strong as a species.

Eye color is a great example of how DNA mutations can cause genetic variation. In the beginning, almost all people had brown eyes. Then, with a single DNA change, blue, green, hazel, and all of the rest of the other eye colors became possible.

Them movie poster, 1954.
Despite what the movies may say, mutations are an everyday thing. (Image from Wikipedia)

Another good example has to do with groups of people that eat a lot of starch. Our bodies digest starch using something called amylase.

Way back when, the human diet had very little starch. And so we made very little amylase.

As cultures started to eat more starch, people who happened to have a mutation that caused them to make more amylase did better. They had more kids and eventually their mutation became the norm.

This did not happen in cultures that continued to eat very little starch. The amylase mutation didn't become common and so most of them still made very little amylase.

By looking at our DNA, we can see similar sorts of stories with digesting milk or dealing with the thin air of the Tibetan Plateau. There is a rare mutation that becomes common as conditions change to favor the mutation. This is how the human species is able to evolve around the world.

This sort of thing makes sense for these mutations. But what about Rh? How could something that causes mom to injure and sometimes even kill her child spread through a population? By having some advantages that outweigh the disadvantages. 

The Yin and the Yang of Rh

Rh negative blood is very rare and there are pros and cons to having this blood type. As I mentioned above, having Rh negative blood can cause problems during pregnancy for the mother and child. But it isn't necessarily all bad.

One idea is that Rh negative people may be resistant to some of the effects of the parasite Toxoplasma. This parasite can invade our body and damage the brain, especially in babies.

It looks like Rh negative people may be less affected by this parasite. In areas with a lot of Toxoplasma, being Rh negative might be an advantage. The less severe effects of the parasite may outweigh the effects on pregnancy.

Rh negative people may also be resistant to other viruses or parasites that we haven't discovered yet. There is still so much to be understood!

While we don't have a solid handle on all of the advantages of having Rh negative blood yet, we do understand the advantages of sickle cell anemia (SCA) pretty well. SCA is a genetic disease that affects millions of people around the world.

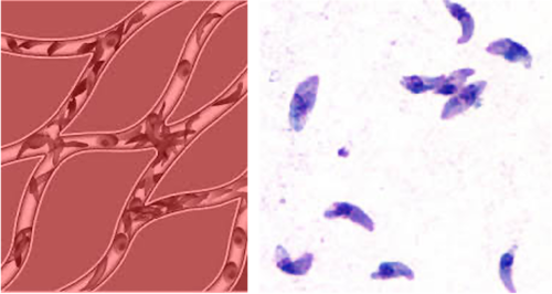
Being a carrier of sickle cell anemia (left) gives you some protection from malaria. It’s possible being Rh negative gives a similar resistance to toxoplasma parasites (right). (Images from NHLBI and Wikimedia)

The advantages of sickle cell anemia (SCA) are much better understood. SCA is caused by a DNA mutation that affects red blood cells. Under certain conditions, these red blood cells sickle up causing all sorts of problems. Most people with SCA die too early in life. Not much advantage there.

The advantage comes from people who carry the disease but do not have the disease themselves. These folks are called carriers and are resistant to malaria.

The idea is that the benefits of being a carrier outweigh the cost of having an occasional child with SCA. At least in areas where malaria is common.

Undoubtedly something similar is going on with being Rh negative. The Toxoplasma resistance may be enough or there may be other advantages we don't know about yet.

So, there you go! Great question and hopefully this answer confirms the fact that Rh negative blood originates from a mutation in the RHD gene. I hope all this new information encourages you to find out your blood type!

Author: Dr. Khameeka Kitt

 

Ask a Geneticist Home