Is it ever possible for a person or an animal to have one biological parent rather than two?
January 16, 2012
- Related Topics:
- Animal biology,
- Chromosomes,
- Developmental biology,
- Genetic conditions,
- Reproduction
A curious adult from California asks:
"Is it ever possible for a person or an animal to have one biological parent rather than two?"
Yes, it is definitely possible for some animals to have just a mom, rather than a mom and a dad. It doesn't seem to work to have just a dad, though. That's probably because eggs have more of what an animal needs to develop.
Now even though a few animals can get away with just a mom, most animals (including us) can't. They need both a mom and a dad.
The reason has to do with the fact that a few genes act differently depending on whether they come from a mom or a dad. If both genes come from the same parent, then you don't get these differences. And this can lead to abnormal development.
To get past this development problem in mice, scientists had to fiddle with the DNA of one mouse mom. Then they could get two moms to have a mouse pup. In other words, they needed to partly turn one mom's DNA into something closer to a dad's DNA.1
It just seems like most animals including humans are really sensitive to which parent their DNA comes from. Even small changes can cause problems. But not always.
Sometimes, you can get hundreds of your genes from just one parent and you're fine. And sometimes just a few can give you a serious disease.
It all depends on the genes we're talking about. And of course on the animal! As we'll see, for some animals, it doesn't seem to matter which parent their genes come from.
Fatherless Animals
So having all your genes from one parent doesn't seem to work for people. But as I said, it actually does work for some animals. Certain animals can reproduce without having sex!
This unusual way to have kids is called parthenogenesis. In this method, an egg can be activated. It then develops into a baby animal without being fertilized.
So what kinds of animals don't need a dad? Some bees, some fish, and some types of lizards can have babies this way.2 In some cases, animals always reproduce by parthenogenesis. Some animals, however, only use this method when there aren't enough males.3
We aren't entirely sure how these animals get away with being able to do this. Especially when we see what happens in human embryos with just one parent...
Conception Gone Wrong
Half of a person's DNA usually comes from mom. The other half comes from dad. That means that an egg or a sperm has half as much DNA as the rest of a person. When fertilization occurs, the embryo ends up with the normal amount of DNA.
Sometimes, though, there's a problem with conception. It can happen two ways.
Once in a while an egg starts developing without being fertilized by a sperm. And on rare occasions a sperm fertilizes an egg that has lost its DNA.
In these cases, the DNA from the sperm or egg doubles. The result is the normal amount of DNA. However, since it comes from either the mother or the father, this doesn't work out very well.
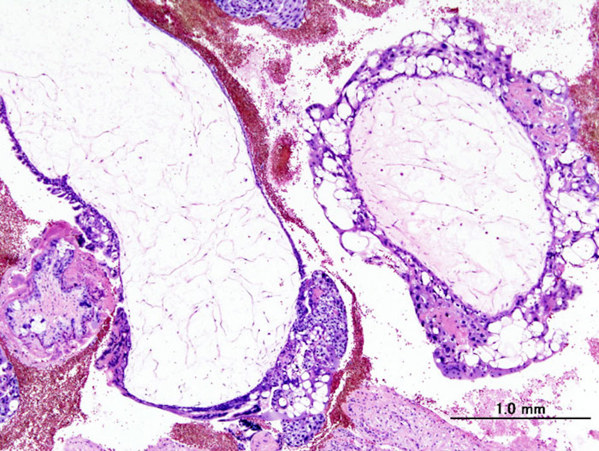
When an egg starts developing without being fertilized, it turns into a tumor called an ovarian teratoma. An ovarian teratoma doesn't look like an embryo or a baby. It may have some features of a person, though, like hair or teeth.4 Now that's strange!
Sometimes an egg loses its DNA. When that egg is fertilized by a sperm, a molar pregnancy is the result. Molar pregnancy can also be called a hydatidiform mole (that's a tongue twister!).5
Because all the DNA is from the father, the pregnancy isn't normal. There is some growth of the placenta. The embryo, however, develops very little or not at all. A molar pregnancy can, in a few cases, also become a cancer.5
So as I said before, just having the normal amount of DNA isn't enough in people. It needs to come from both the mother and the father for normal development to happen.
From Mom or From Dad?
So the extreme case is getting all your genes from one parent. And we've shown that won't work. But some less extreme cases do.
Some people get a larger percentage of their genes than expected from one of their parents. Instead of 50% from mom and 50% from dad, they might get 48% from one parent and 52% from the other parent.6
Sometimes this small difference doesn't matter. But believe it or not, sometimes it does.
In general, our genes behave the same whether we get them from mom or from dad. For some genes, however, that's not true.
Remember we have two copies of each of our genes, one from mom and one from dad. Most of the time, the genes we get from mom and the genes we get from dad are both "turned on."
Sometimes, though, only the copy of a gene that we get from dad is turned on. That's the case with several genes important for growth. And if both copies are on, there can be real problems.
For example, Beckwith-Wiedemann syndrome is one such disease. These folks inherited two copies of a growth gene from their dad and that was enough to cause the problem!7
These types of diseases are called "imprinting" diseases.* There are many types of diseases like these although most are not as well understood as Beckwith-Wiedemann syndrome.7
I don't have the space to go into how someone can end up with a few extra genes from one parent. But check out our answer here for one way that it might happen.
So you can see that some animals can have just a mom but that most need a mom and a dad. And that includes animals like us.
*An imprinted gene is one that is different depending on which parent it came from.
Read More:
- Cancer Research UK: Molar pregnancy
- Scientific American: Parthenogenesis used to generate stem cells
- Nature Education: more about inheritance of genes from parents
Skip Navigation