Looking through eyeglasses and seeing grey in a background of colorful tulips.

Can there be variation in the degree of inherited color vision deficiency?

March 22, 2016

Looking through eyeglasses and seeing grey in a background of colorful tulips.

A curious adult from Minnesota asks:

“I am a woman with mild color vision deficiency. I know that my mother’s maternal grandfather was quite color blind, as was one of her female first cousins. And that my dad has a color blindness like mine. Is the degree of deficiency inherited, or can it vary?

Also, is my deficiency milder than the known deficiency on my mother’s side of the family because my less-deficient X chromosome from my father trumps the more-deficient X chromosome from my mother? Or was that just luck?”

Given your parents, you were most likely either going to get your dad’s colorblindness or not be colorblind at all. And it is for the reasons you talk about.

How bad a case of colorblindness you get is often inherited. And in women, you end up with the less severe form of colorblindness that each parent happens to pass to you.

Your dad will pass his colorblindness to you each and every time. But your mom will either pass her severe form or none at all.

If she passes the severe form, you will have your dad’s colorblindness. And if she passes on no colorblindness, you won’t have any trouble telling red from green.

All of this would be very different if you were a boy. Then you’d either get mom’s more severe colorblindness or none at all. You would be extremely unlikely to end up with dad’s.

Color blindness test.
People with red-green colorblindness have trouble seeing the number 74 in this image. Via Wikimedia Commons

X Marks the Spot

Most of the time your DNA says whether you will be colorblind or not. This makes sense as your DNA has the instructions for making you, including your ability to tell red from green.

Like those old sets of encyclopedias, your instructions are split into multiple parts. These parts are called chromosomes. 

Encyclopedias.
Our DNA is split up into sections just like old sets of encyclopedias used to be. Via Wikimedia Commons

In people, there are 23 pairs of these chromosomes. We have two sets of 23 of nearly identical chromosomes. We get one set of 23 from mom and one set of 23 from dad.

Each chromosome in a pair isn’t truly identical though. There is the occasional difference here and there.

It is these differences that make each of us unique. And it is differences like these in a specific spot that can lead to colorblindness.

Men and women have more than these scattered differences though. They have a very different set of chromosomes for their 23rd pair.

This pair is called the sex chromosomes. Men have an X and a Y chromosome and women have two X’s.

This matters here because colorblindness is associated with the X chromosome. And if you have two X’s, the best one for color vision wins out.

This is why men are colorblind more often than women. They have just one X and if it says to be colorblind, they will be colorblind.

The story is very different for women. Because of their two X’s, they are much less likely to be colorblind.

If they have an X that doesn’t lead to colorblindness, it doesn’t matter what the other X says. She won’t be colorblind.

Women need for both X’s to lead to colorblindness to be colorblind. And they will favor the X with the less severe form.

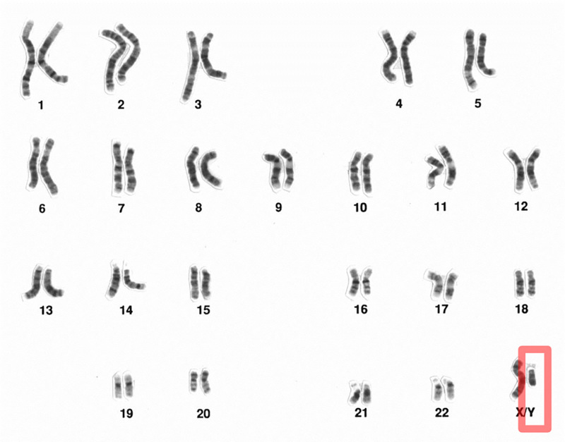
XY karyotype.
This is an image of a male’s chromosomes. As you can see, his last pair is a mismatch, an X and a Y. Via Wikimedia Commons

More than One Colorblindness

There are many different kinds of colorblindness. And there can be different levels within each.

The most common form is red-green colorblindness. People with this form have trouble telling red from green.

But there isn’t just one kind of red-green colorblindness. There are multiple types each with a different level of severity.

For the most part, how hard it is for you to tell red from green is inherited. The difference in how bad your colorblindness usually has to do with which particular difference in the DNA you inherited.

Mild or No Colorblindness

OK so let’s break down your case.

Your mom is not colorblind but one of the more severe forms does run in her family. This means she either has two perfectly fine X’s (in terms of colorblindness) or one of her X’s could lead to colorblindness.

In the second case she would be called a carrier. She can pass on colorblindness but does not have it herself.

Your dad has a mild colorblindness which means his X has it too. And this is his only X.

When we have kids, we pass on one chromosome from each pair. So your dad will pass either his X or his Y and your mom will pass one of her X’s.

(This is why dad decided whether the child will be male or female. If he passes an X, the child will be a girl and if he passes a Y, the child will be a boy.)

Let’s draw this out. I will make an X that leads to severe colorblindness purple, a milder form light blue and an X that doesn’t lead to colorblindness clear. Here are your parents:

XY inheritance.

Your mom is not colorblind because she has a clear X but since you are colorblind, we know she must be a carrier and so her other X is purple. Dad has a mild colorblindness because of his blue X.

In this case, your mom passed you her purple X and dad passed his blue X. (That little gray box is the Y, which you didn’t get because you are female.)

You will be able to see color as well as whichever X is best. Since you have a severe X from mom and less severe X from dad, you will see like dad.

This is your other possibility (as a female):

XY inheritance.

In this case you got an X from mom that can easily tell red from green and an X from dad that has a bit of trouble telling the two apart. Since you got your mom’s clear X, you can tell red from green easily. Just like your mom.

You can probably work out what the options were if you were a boy. Dad would pass his Y and mom would pass either the clear or purple X.

Why Colorblindness is Recessive

So that explains the genetics but not the why. That has to do with what these DNA differences do.

We can see color because of special cells in our eyes called cones. The instructions for these are in our DNA.

Colorblindness is caused when something happens to the instructions. Instead of making a working cone, you get a damaged one. Or none at all.

So if you have a set of instructions that makes perfectly good cones and one that doesn’t, you will have plenty of working cones. You will be able to tell red from green! Just like your mom.

Author, Dr. Barry Starr.

Author: Dr. Barry Starr

Barry served as The Tech Geneticist from 2002-2018. He founded Ask-a-Geneticist, answered thousands of questions submitted by people from all around the world, and oversaw and edited all articles published during his tenure. AAG is part of the Stanford at The Tech program, which brings Stanford scientists to The Tech to answer questions for this site, as well as to run science activities with visitors at The Tech Interactive in downtown San Jose.

Ask a Geneticist Home