Can someone be born with the sickle cell trait from a white mother who has Rh- blood?
March 29, 2017
- Related Topics:
- Rh factor,
- Blood type,
- Genetic conditions,
- Ancestry
A curious adult from North Carolina asks:
"Can someone be born with the sickle cell trait from a white mother who has Rh- blood?"
First, thank you for your question! I think what you might be really getting at is whether someone can inherit sickle cell trait from a white mother who has sickle cell trait and Rh- blood.
And the short answer to this question is yes they can! Though it isn’t necessarily common.
Sickle cell trait is somewhat rare in people with European ancestry, but it does happen. The CDC estimates that around 3 per 1000 white infants in the United States are born with sickle cell trait (compared to 73 per 1000 African American infants).1
And Rh- blood is not very common either. About 17% of Americans who identify as white have negative-type blood.2
The two traits aren’t connected, and are inherited separately. It is definitely possible for a mother to have both sickle cell trait and Rh- blood. This also means it is possible for her to pass sickle cell trait on to her child(ren).
Let’s explore the reasoning behind this answer a bit more!
Unlinked Traits
Having Rh- blood and having sickle cell trait aren’t connected. In genetics terms, we say that the two traits are unlinked.
This means that they are inherited independently of each other. And actually, aside from both affecting blood properties, sickle cell trait and Rh blood type don’t have much to do with each other.
So, if a woman has Rh- blood and sickle cell trait, then she can pass either to her child(ren).
An easier (and more fun!) way to think about this is with candy. Say you have three bowls of candy:
- Bowl 1 has two flavors of bubblegum, blueberry and cherry.
- Bowl 2 has two flavors of lollipops, watermelon and lemon.
- Bowl 3 has one kind of blowpop, a lemon lollipop with a blueberry bubblegum center.
Now let’s say you want a lemon lollipop and blueberry bubblegum. And you have to either pick either A) a piece of bubblegum and a lollipop from the first two bowls, or B) a blowpop from the third. Blindfolded.
In this case your best bet is Bowl 3. Because the two candies are linked in that bowl, you’ll get the right combination each time.
Now of course if you want a lemon lollipop and cherry bubblegum, Bowl 3 doesn’t have that combination. You would have to go with Bowls 1 and 2.
Rh- blood and the sickle cell trait are more like choosing from Bowls 1 and 2. The two traits are unlinked.
This means a woman with Rh- blood and sickle cell trait could pass on both, one, or neither traits to her child. The two do not travel as a pair—they are not a blowpop.
Of course the instructions for Rh- blood and sickle cell trait are not found on pieces of candy. Instead, they are found on chromosomes.
DNA, Traits, and Chromosomes
In genetics, a trait refers to any genetically determined characteristic. Sickle cell trait and Rh- blood are both examples of traits.
DNA is the molecule our bodies use to spell out the instructions needed to make each of our traits. Most peoples’ instructions are found in 46 long pieces of DNA called chromosomes, which are arranged into 23 pairs.
As humans, we get one member of each chromosome pair from our mom and one member of each pair from our dad. Similarly, when we go to have children, we pass on one member of each chromosome pair and our partner passes on the other member.
This explains why children are a mixture of their parents. And as you’ll see later, why our hypothetical mother can give sickle cell trait to her child(ren).
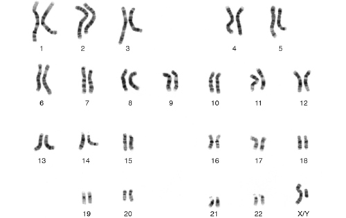
Here is a picture of those chromosomes, or units of DNA, we have been talking about:
Looking at our diagram, this person inherited one of each chromosome pair from each parent.
As we said earlier, when this person has children, they will pass on one member of each pair and their partner will pass on the other. Which one they pass occurs entirely by chance.
Now, I just want to make one last point, before we can finish answering your questions.
What Causes Sickle Cell Trait and Rh- Blood?
Earlier we said that sickle cell trait and Rh- blood are both traits, and that DNA is the molecule our bodies use to spell out the instructions needed to make each of these traits.
So, our bodies have a specific set of instructions that code for sickle cell trait and a specific set of instructions that code for Rh blood type. Spelling mistakes in these trait instructions are called mutations.
Aside from both affecting blood properties, sickle cell trait and Rh blood type don’t have much to do with each other.
If you have sickle cell trait, it is because you have a mutation in the instructions for a molecule in blood called hemoglobin on one of your copies of chromosome 11.
And if you have Rh- blood, then it is because you have a spelling change in the instructions for Rh blood type on both of your copies of chromosome 1.
And with that, I think we are ready to tie everything we have learned together to answer your question!
Your Question
So, I alluded to this earlier, but the key to your question is that the instructions for Rh- blood are located on a different chromosome than the instructions for sickle cell.
In other words, the traits are located on different types of candy and are therefore in different bowls!
This means someone can get both, one, or neither. It all depends on which their parent happens to pass down to them.
So for your question, it is possible for a mother to have sickle cell trait, and be Rh-. And she could have children who inherit one or both of these.
Let’s draw this out our mom’s chromosomes:

Remember that the Rh gene is on chromosome 1 and that to have Rh- blood, both copies need to have a mutation. I have shown this with an X on each chromosome 1.
Sickle cell trait happens when just one copy of the hemoglobin gene has a mutation. That is why just one chromosome 11 has an X.
She will always pass one the Rh- DNA to her children. Whether they are Rh- as well would depend on what they inherit from their other parent. And she has a 50% chance of passing on sickle cell trait to each of her children.
Thanks again for writing in! I hope that was helpful!
Read More:
- More on Rh type
- CDC: What is Sickle Cell Trait?
- Healthline: Even more about sickle cell trait
Author: Megan Nathan
When this answer was published in 2017, Megan was a student in the Stanford MS Program in Human Genetics and Genetic Counseling. Megan wrote this answer while participating in the Stanford at The Tech program.
Skip Navigation